※顎変形症の治療方針や保険診療についての詳しい説明は、
▶︎ 顎変形症の治療について をご覧ください。
この患者さんは舌のリンパ管腫があり、幼少期より当院小児外科・形成外科で継続的に治療を行ってきました。
舌リンパ管腫に対しては硬化療法を行い、腫瘍の縮小・減量を図ってきました。
しかし成長に伴い、舌の圧排による開咬および下顎前突が徐々に明らかとなってきました。
機能的・形態的改善のためには外科的治療が必要と判断し、術前矯正を行ったうえで手術を計画しました。
矯正治療開始前の口腔内の状態


舌のリンパ管腫は硬化療法の効果でよく縮小しています。臼歯早期接触を原因とする開咬が明らかです。
診断する
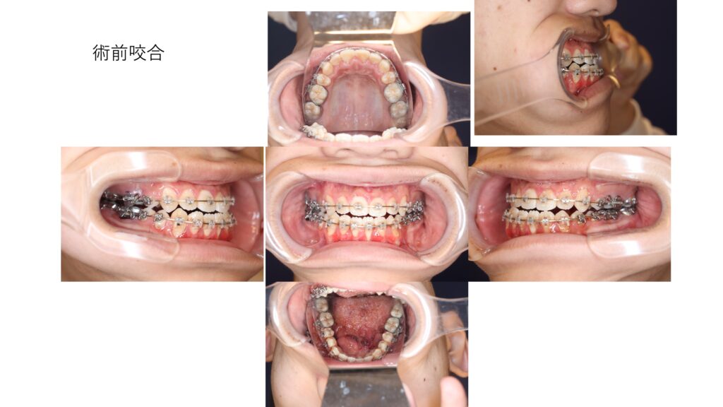
術前の顔貌写真と咬合を示します。








本格的な矯正治療が行われ、開咬は良好にコントロールされています。
しかし、下顎の前突は骨格性の要因が大きく、矯正治療のみでの改善には限界がありました。そのため、外科的治療が必須と判断しました。
顔貌においても下顎前突は明らかであり、機能面だけでなく審美的改善の観点からも手術適応と考えられました。
以上を踏まえ、外科的矯正治療を計画しました。
手術計画

手術
手術は、上顎に対してLe Fort I型骨切り術、下顎に対して下顎枝矢状分割骨切り術(SSRO)を施行しました。
顔面高を減じる目的で上顎を上方移動させ、さらに開咬を確実に閉鎖するため、上顎骨・下顎骨複合体を時計回転させる術式を選択しました。
術前後のセファログラムを以下に示します。


術後経過
術後6か月時点の顔貌および咬合の写真を示します。
下顎前突は改善され、骨格的なバランスが整いました。また、開咬も解消し、安定した咬合が得られています。








担当医からのコメント
本症例は、舌リンパ管腫による持続的な下顎への圧迫が原因となって生じた、開咬および骨格性下顎前突のケースでした。
舌リンパ管腫に対しては当院小児外科にて適切な治療が行われ、その治療経過を踏まえた最終段階として、当科で顎矯正手術を施行しました。
難易度の高い症例ではありましたが、形成外科・矯正歯科・小児外科の三科による連携が円滑に機能し、良好な結果を得ることができました。
顎変形症について詳しく知りたいかたへ
顎変形症の原因や治療方法については、
以下のページで詳しく解説しています。
今回の症例の矯正治療は卓famillie歯科・矯正歯科で行っていただきました。
手術で良い結果を出すためには、精密な術前矯正治療が必須です。