※顎変形症の治療方針や保険診療についての詳しい説明は、
▶︎ 顎変形症の治療について をご覧ください。
ガミースマイルの治療には、手術と非手術の方法があります。代表的な手術治療には、上顎骨を短縮する上顎骨切り術があります。一方、上口唇挙筋へのボトックス注入などの非手術治療は、軽度のガミースマイルには有効ですが、骨格的に上顎が長い場合は効果が限定的です。
この患者さんは、上顎の過長に加えて軽度の下顎前突があり、不正咬合を呈していました。そのため、両顎手術による治療計画としました。
術前の顔貌と咬合






手術計画
上顎を短縮して、顎先をひっこめることでガミースマイルと下顎前突の解消をはかる計画をたてました。具体的な移動量はレントゲンから計測して手術前におおよそ決めておきます。

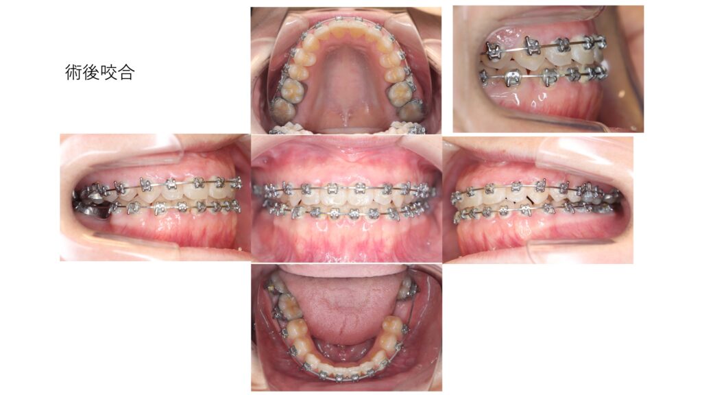
術後の顔貌と咬合
術後6ヶ月の顔貌写真と咬合を示します。
上顎が短縮され、顎先がひっこんだことで輪郭が整いました。ガミースマイルも認めなくなりました。(下段写真中央)咬合も安定しています。






術前矯正について
本症例の術前矯正は卓famillie歯科・矯正歯科にて行っていただきました。
外科的矯正治療においては、術前矯正の質が最終結果を大きく左右します。
いつも精度の高い治療をありがとうございます。