※顎変形症の治療方針や保険診療についての詳しい説明は、
▶︎ 顎変形症の治療について をご覧ください。
下顎前突の改善を希望して受診された患者さんの経過を紹介します。
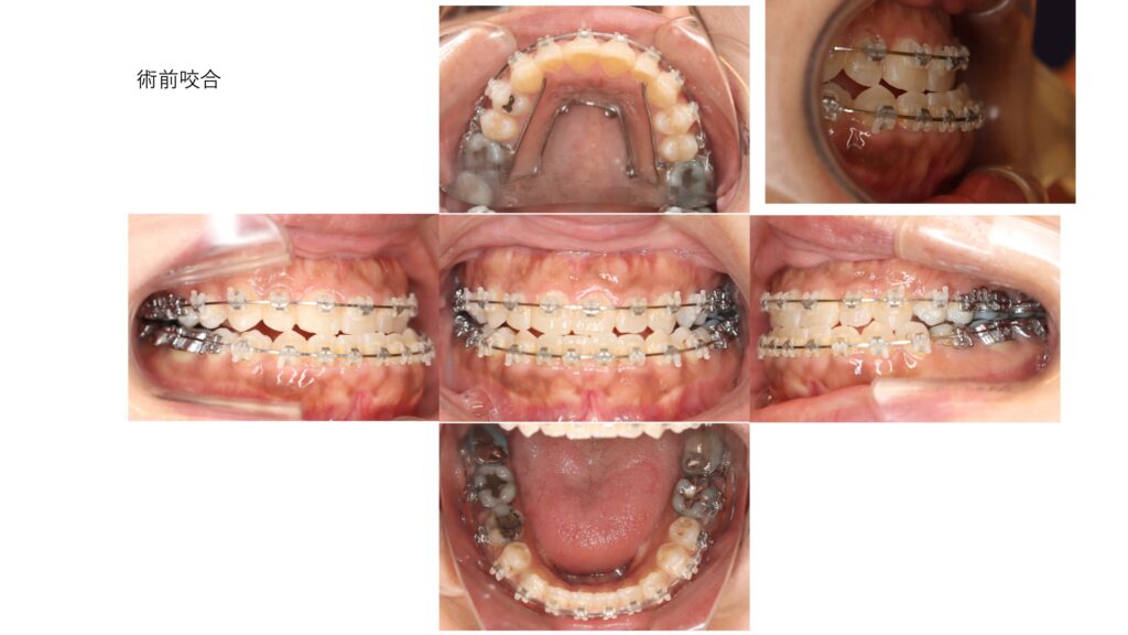
お顔を拝見すると下顎前突を認め、中顔面はやや陥没したconcave faceです。術前矯正が進み、反対咬合がはっきりとわかります。







診断する
標準輪郭(写真の白線)と比較すると、下顎は前突しています。上顎の位置はわずかに後方位置にあります。

手術計画
下顎単独の手術という選択もありましたが、中顔面をやや凸に仕上げたほうが整容性がよいと考え、相談のうえで両顎手術を行うこととしました。

手術と経過
術後6ヶ月で抜釘が終了しています。下顎前突は解消されています。

術後経過(顔貌)
下顎前突は解消されました。側貌では上唇のほうが下唇よりも前方に出てきて、正常な上口唇と下口唇の関係に変化しました。反対咬合は正常咬合になり、緊密な咬合関係が維持されています。







術前矯正について
本症例の術前矯正は卓famillie歯科・矯正歯科にて行っていただきました。
外科的矯正治療においては、術前矯正の質が最終結果を大きく左右します。
いつも精度の高い治療をありがとうございます。