※顎変形症の治療方針や保険診療についての詳しい説明は、
▶︎ 顎変形症の治療について をご覧ください。
診断する








この方は、前歯がかみ合わずにすき間があいてしまう「開咬(かいこう)」の状態でした。
お顔立ちとしては、口元が前に出て見え、あごがやや後ろに下がっている印象がありました。
また、前に出た前歯に押されることで、上下の唇にも厚みが出ている状態でした。
かみ合わせの改善と横顔のバランスを同時に整えるため、両顎手術を計画しました。
手術計画

手術
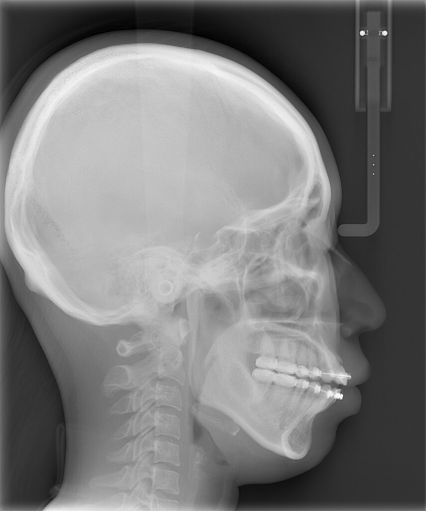
手術は、上あごの位置を整える「ルフォーⅠ型骨切り術」、下あごの位置を調整する「下顎枝矢状分割術」、そしてあご先を前に出す「オトガイ形成術(前進術)」を同時に行いました。
上あごは全体を後方へ3mm移動し、さらにわずかに回転を加えることで、開咬がしっかり閉じるよう調整しています。
あご先(オトガイ)は10mm前方へ移動させ、横顔のバランスを整えました。
術後経過










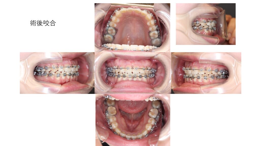
術後は前歯のすき間がなくなり、しっかりとかみ合う状態になりました。
口元の突出感もやわらぎ、さらにあご先(オトガイ)を前に出すことで、横顔のバランスも大きく改善しています。
機能面だけでなく、見た目の印象も自然で調和のとれた仕上がりになりました。
術前矯正について
本症例の術前矯正は卓famillie歯科・矯正歯科にて行っていただきました。
外科的矯正治療においては、術前矯正の質が最終結果を大きく左右します。
いつも精度の高い治療をありがとうございます。
顎変形症について詳しく知りたい方へ
顎変形症の原因や治療方法については、
以下のページで詳しく解説しています。
▶ 顎変形症の治療について詳しくはこちら