※顎変形症の治療方針や保険診療についての詳しい説明は、
▶︎ 顎変形症の治療について をご覧ください。
この患者さんは、反対咬合の改善を希望して、矯正歯科より当科を紹介されました。
外科手術併用で治療を進める方針となり、術前矯正を開始しました。
術前矯正が進行した段階で、外科手術の具体的な治療計画を立案することとなりました。
診断する
正面から見るとお顔の左右差はほとんどなく、全体として整った顔貌でした。
ただし、笑った際に上の歯の見え方が少なく、上顎がやや後方に位置している印象でした。
横から見ると下唇が前に出ており、いわゆる受け口の状態でした。
噛み合わせは骨格性の反対咬合でした。






セファログラムを用いた診断

標準的な顔のバランスと比較すると、上顎はやや後方にあり、下顎は大きく前に出ていることがわかりました。そこで、上顎を少し前に出し、下顎を後ろに下げるとともに、上下の顎を一体として回転させることで、顎先の突出感を改善する計画としました。上顎は2.5 mm前方に移動し、後方を4 mm持ち上げる形で回転させる予定としました。
手術
手術方法
- 上顎:Le Fort I 型骨切り術
- 下顎:下顎枝矢状分割術(SSRO)、オトガイ形成
骨移動量
- 上顎:前方移動2.5mm/回転
- 下顎:後方移動
- オトガイ:5ミリ前方移動
固定方法
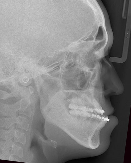
- 吸収性プレートおよびチタンプレートによる固定
術後経過
術後1年半の顔貌写真です。下顎前突は解消され、笑顔時の上顎の歯の見え方も適正になりました。
反対咬合は消失していて、咬合は安定しています。レントゲンでは後戻りを認めません。








担当医からのコメント
顎変形症の治療では、咬合の改善だけでなく、
顔貌全体のバランスを考慮した治療計画が重要です。
本症例では、下顎を後退させるだけでも咬合の改善は可能でしたが、上顎をわずかに前方移動させることで、顔貌においてより自然で調和のとれた改善を得ることができました。
顎変形症について詳しく知りたい方へ
顎変形症の原因や治療方法については、
以下のページで詳しく解説しています。