※顎変形症の治療方針や保険診療についての詳しい説明は、
▶︎ 顎変形症の治療について をご覧ください。
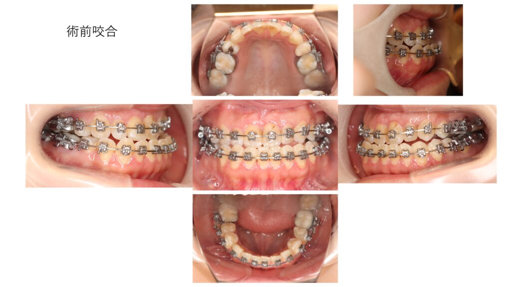
下顎前突(受け口)の改善を希望して、受診された患者さんの治療経過を紹介します。







診断する



お顔を拝見すると、下唇が上唇より前方に出ています。また、鼻の下あたりが少し陥没した印象があります。下あごは大きくて長い印象です。


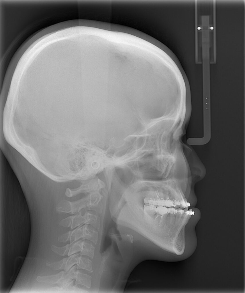
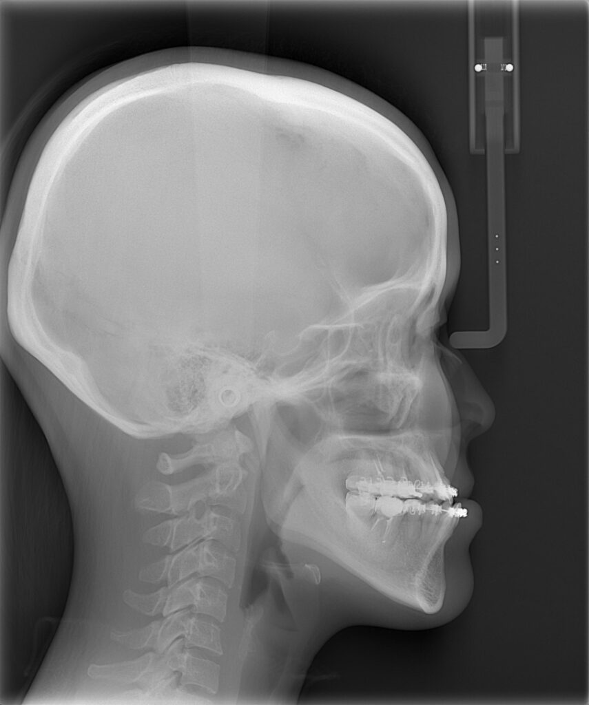
レントゲンを用いて骨格の特徴を把握します。白線の輪郭は標準的な骨格を表しています。標準骨格と比べると、下顎が前に出ていて、なおかつ垂直方向に長いことがわかりました。
手術計画
下顎はSSROで後方に移動させ、上顎は鼻下の陥没感を改善するために上顎前歯の先端を回転中心として時計回転させて鼻下の骨を前方に出す計画としました。顎先は中抜きオトガイ形成で垂直方向の長さを短縮することにしました。



白線の標準骨格に一致するように骨の移動量を決めていきます。上顎は鼻下で2mm前進し、臼歯部で2mmほど上方に移動させます。全体として上下顎は時計回転することになります。顎先は4mmの中抜き短縮です。
手術:上顎ルフォー1型骨切り+下顎SSRO+中抜きオトガイ形成




ほぼ予定通りの手術が行われました。
経過






術後6ヶ月の顔貌です。下顎前突は解消し、下顎も小さくなって、バランスの良い顔貌になりました。鼻下の陥没感も改善しています。

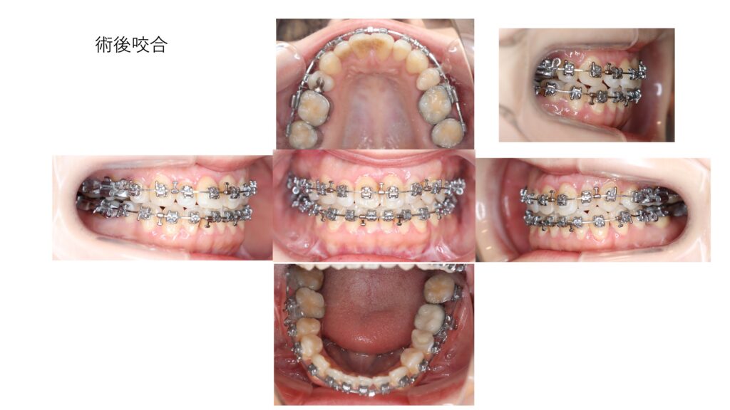
術後6ヶ月の咬合です。反対咬合から正常な咬合に変化しています。
術前矯正について
本症例の術前矯正は卓famillie歯科・矯正歯科にて行っていただきました。
外科的矯正治療においては、術前矯正の質が最終結果を大きく左右します。
いつも精度の高い治療をありがとうございます。